Dott.ssa Patrizia Broccoli
Medico - Chirurgo
Specialista In Diagnostica per immagini
Senologia Diagnostica
Accanto alle donne nella Prevenzione e nella Diagnosi delle patologie della mammella

DIAGNOSTICA SENOLOGICA
“È ormai accertato da tutti che la Prevenzione resta l’arma fondamentale per diagnosticare “in tempo” e
precocemente una lesione mammaria;
la Prevenzione è la possibilità di salvare la propria vita,
è la sicurezza di accedere a iter terapeutici poco invasivi ed efficaci,
è la serenità di una guarigione definitiva”.
Dott.ssa Patrizia Broccoli
Sensibile e impegnata in questa Branca Ultraspecilistica della Radiologia, ho scelto da molti anni, di lavorare presso Centri Diagnostici dotati di strumentazione modernissima e tecnologicamente avanzata, per utilizzare tutte le Tecnologie di ultima generazione in ambito senologico, come:
*la Mammografia Digitale (Tomosintesi 3D) , ad oggi lo stato dell’arte, il gold standard nell’indagine Diagnostica Senologica di I livello,
* l’Ecografia Mammaria , importantissimo esame complementare ed integrativo della Mammografia.
*la RM mammaria ( 1.5 Tesla con mdc), indagine di II livello.
*la CEDM/CESM ( Mammografia con mdc), indagine di II livello.
La Mammografia

Le linee guida dell’American Cancer Society per lo screening del carcinoma mammario prevedono, nella Prevenzione, l’esecuzione della Mammografia Digitale, una volta l’anno, a partire dai 35 anni di età.
La Mammografia è inoltre indicata ogni volta esista una tumefazione palpabile o un nuovo segno o sintomo
che richieda una diagnosi accurata e corretta, anche in età inferiore ai 35 anni.
La Mammografia è la tecnica diagnostica fondamentale per la diagnosi del tumore mammario; è un esame che utilizza radiazioni ionizzanti, ma tecnologie sofisticate permettono di utilizzare una dose di radiazioni estremamente bassa.
Con la Mammografia Digitale si riduce ulteriormente la dose di radiazione, a fronte di un’ottima qualità dell’immagine.
Il limite della Mammografia è rappresentato dalla “mammella densa”, nella quale strutturalmente prevale la quota di tessuto ghiandolare rispetto a quello adiposo; condizione genetica a ogni età e presente soprattutto nelle donne giovani, in età fertile.
La radiopacità omogenea indotta dal tessuto ghiandolare, fa sì che ci sia la possibilità che la lesione non sia individuata.
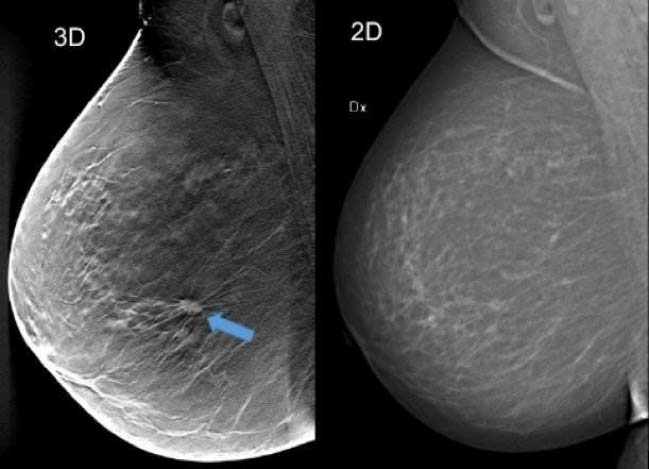
La ricerca tecnologica ha perciò cercato di sopperire a tali limiti della mammografia digitale sviluppando la MAMMOGRAFIA CON TOMOSINTESI.
Si tratta, in pratica di una Mammografia Tridimensionale (3D) ad Alta Definizione.
La TOMOSINTESI è una procedura diagnostica che permette di studiare la mammella ‘a strati’, come la TC; la mammella viene scomposta in tante immagini che poi, sovrapposte, ricostruiscono la figura della mammella nella sua completezza.
RISONANZA MAGNETICA
La Risonanza Magnetica mammaria è una metodica diagnostica di II° livello, non invasiva, che utilizza un campo magnetico e onde di radiofrequenza per ottenere immagini anatomiche morfologiche e funzionali.
CEDM/CESM
La CEDM, è una tecnica senologica di II° livello che prevede la somministrazione del mezzo di contrasto iodato durante l’esecuzione mammografica
Prenota la tua visita
Specialista Radiologo in attività libero-professionale presso Centri Diagnostici nel Lazio.

Centro GAMED
Specialista Radiologo / Dirigente Medico esperto di Senologia Diagnostica e Responsabile di Branca Senologica
Via Ancona 21
04024 – Gaeta (LT) 0771.1690010

GalenoMED
Poliambulatori clinici e Diagnostici
Specialista Radiologo/ Dirigente Medico esperto di Senologia Diagnostica
P.zza Porta Vescovo 8/9
04022 – Fondi (LT) 0771.512614-5

CENTRO Polispecialistico ANALYSIS
Specialista Radiologo esperto di Senologia Diagnostica
– Via la Neve, 35
– Via della stazione
c/o la Città della Salute
04019 Terracina (LT) 0773.720175
338.6893992

Susan G. Komen Italia Onlus
Specialista Radiologo – Esecutrice di Screening Mammografici
Largo A. Gemelli
00168 – Roma
Chi sono
Da anni, e in particolare allo stato attuale, sono un Medico-Specilista Radiologo dedicato e “votato” alla Senologia Diagnostica , Branca “Ultraspecialistica” della Diagnostica per Immagini che evolve giorno per giorno e nel tempo, esigendo sempre più Professionisti ultraperiti, settorializzati, dinamici, sapienti delle tecnologie attuali, pronti ad ogni innovazione tecnologica e aperti a procedure emergenti e future.
La “Tuttologia nel mondo odierno può distrarre da un obiettivo prefissato e scadere in un’ epidermica conoscenza”. – DR Patrizia Broccoli-
Esprimo la Mia Passione lavorativa nel Campo Medico e nella Senologia, dedicandomi alle Persone, prima che Pazienti, e abbracciando l’Umanizzazione della Medicina, come da insegnamento del Prof. Umberto Veronesi e come da esempi di eccellenti Professionisti operanti nel Mondo della Senologia con i quali collaboro, un Team di Specialisti coordinato dal Prof. Riccardo Masetti, Eccelso Chirurgo di Riferimento Nazionale e Internazionale, che quotidianamente si occupa delle Donne affette da carcinoma della mammella e opera per la loro cura e guarigione.
Con l’obiettivo di sensibilizzare sempre più la popolazione femminile sui rischi del cancro della mammella e sulla grande importanza della Prevenzione e dei controlli regolari, collaboro con il progetto di prevenzione Susan G. Komen Italia Onlus, come Specialista Radiologo esecutrice di Screening mammografici.









Esperienza professionale pluriennale presso: